tandplak en gaatjes

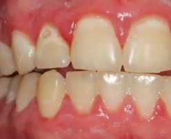
Er leven veel bacteriën in de mondholte. Veder in de dag vormt zich tandplak. Dat is een dikke laag bacteriën. suiker is voedsel voor de bacteriën. daarbij maken bacteriën melk zuur aan. Melkzuur lost het kalk van het tandbeen aan. Daardoor ontstaan gaatjes. Wanneer het gaatje de tandholte bereikt kunnen bacteriën een ontsteking veroorzaken.
De zenuw wordt geprikkeld en zorgt voor kiespijn.

 

Maak jouw eigen website met JouwWeb